Λ. Δημοκρατίας 16Α, Ωραιόκαστρο Θεσσαλονίκης • Τηλ: 2310694535 • info@mentiperiodontologos.gr

Εμφυτευματική Αποκατάσταση

Περιοδοντολόγος, Χειρουργός Οδοντίατρος Α.Π.Θ. Σοφία Μεντή DDS, MSc

Τα οδοντικά εμφυτεύματα παρέχουν εξαιρετικές θεραπευτικές δυνατότητες και υποκαθιστούν πλήρως τα απολεσθέντα δόντια, από άποψη λειτουργικότητας, στοματικής υγείας και αισθητικής.

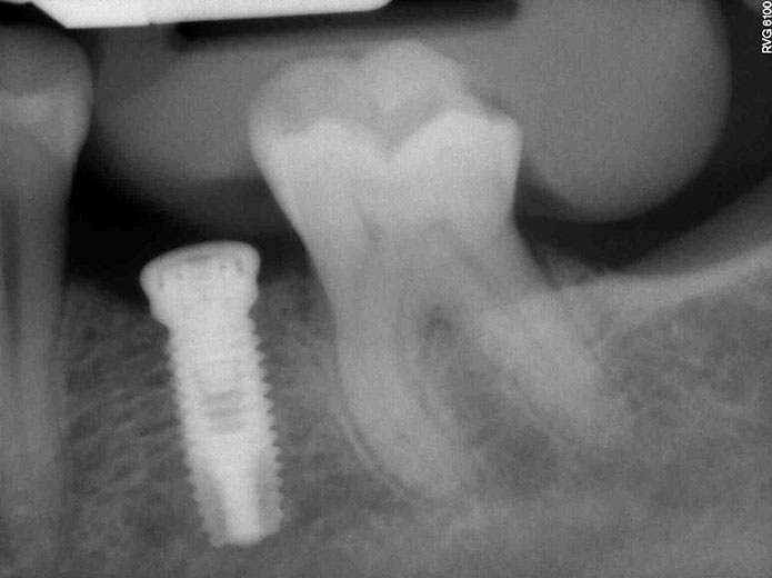
Αποκατάσταση έλλειψης μεμονωμένου δοντιού

Όταν λείπει ένα δόντι, τοποθετείται ένα μεμονωμένο εμφύτευμα στην περιοχή, το οποίο υποκαθιστά το δόντι τόσο λειτουργικά, όσο και αισθητικά.

  • Ο Χώρος του Ιατρείου | Σοφία Μεντή DDs, MSc | Περιοδοντολόγος, Χειρουργός Οδοντίατρος Α.Π.Θ.
  • Ο Χώρος του Ιατρείου | Σοφία Μεντή DDs, MSc | Περιοδοντολόγος, Χειρουργός Οδοντίατρος Α.Π.Θ.
Αποκατάσταση έλλειψης ομάδος δοντιών

Όταν σε κάποια περιοχή του στόματος λείπουν τρία διπλανά δόντια, τότε τοποθετούμε δύο εμφυτεύματα και κατασκευάζουμε μεταξύ τους γέφυρα. Όσο αυξάνει ο αριθμός των ελλειπόντων δοντιών, τόσο μειώνεται η αντιστοιχία δοντιών-εμφυτευμάτων, π.χ. για την αντικατάσταση τεσσάρων ή και πέντε δοντιών συνήθως απαιτούνται τρία εμφυτεύματα.

  • Ο Χώρος του Ιατρείου | Σοφία Μεντή DDs, MSc | Περιοδοντολόγος, Χειρουργός Οδοντίατρος Α.Π.Θ.
  • Ο Χώρος του Ιατρείου | Σοφία Μεντή DDs, MSc | Περιοδοντολόγος, Χειρουργός Οδοντίατρος Α.Π.Θ.
Αποκατάσταση πλήρους έλλειψης δοντιών (άνω ή/και κάτω γνάθου)

Σε περιπτώσεις που αντιμετωπίζουμε πλήρη έλλειψη δοντιών στη γνάθο:

  • Στην κάτω γνάθο τοποθετούνται 4-6 εμφυτεύματα
  • Στην άνω γνάθο τοποθετούνται 6-8 εμφυτεύματα

Ο αριθμός αυτός των εμφυτευμάτων εξασφαλίζει την κατασκευή μιας σταθερής προσθετικής αποκατάστασης, ικανής να αντέξει το βάρος των μασητικών δυνάμεων κατά τη σύγκλειση, χωρίς να δημιουργεί δυσανάλογες φορτίσεις στα εμφυτεύματα.

Σε περίπτωση που ο ασθενής μας επιθυμεί λιγότερα εμφυτεύματα ή δεν είναι δυνατή η τοποθέτηση πολλών εμφυτευμάτων λόγω έλλειψης οστού, είναι δυνατό να τοποθετηθούν δύο εμφυτεύματα στην κάτω γνάθο, πάνω στα οποία θα «κουμπώνει» μια κινητή προσθετική αποκατάσταση. Ιδιαίτερα σε περιπτώσεις όπου προϋπάρχει κινητή συσκευή στην κάτω γνάθο, η οποία δεν εφαρμόζει σωστά και μετακινείται, τα δύο αυτά εμφυτεύματα αποτελούν την ιδανική λύση.

Διάγνωση και θεραπευτική αντιμετώπιση περιεμφυτευματίτιδας

Η περιεμφυτευματίτιδα είναι η απώλεια οστού γύρω από τα εμφυτεύματα. Οφείλεται σε παρόμοιες αιτίες με την περιοδοντίτιδα, ωστόσο στην περίπτωση της περιεμφυτευματίτιδας η κακή στοματική υγιεινή του ασθενούς διαδραματίζει σημαντικότερο ρόλο. Επίσης η καταστροφή του οστού είναι ταχύτερη γύρω από τα εμφυτεύματα, κάτι το οποίο οδηγεί ακόμα και σε απώλειά τους. Η συνήθης θεραπεία της περιεμφυτευματίτιδας είναι η χειρουργική πρόσβαση για καθαρισμό των ιστών γύρω από το εμφύτευμα και τα οστικά μοσχεύματα για την αντικατάσταση των οστικών ελλειμμάτων.

  • Ο Χώρος του Ιατρείου | Σοφία Μεντή DDs, MSc | Περιοδοντολόγος, Χειρουργός Οδοντίατρος Α.Π.Θ.
Φροντίδα και διατήρηση εμφυτευμάτων

Η φροντίδα των οδοντικών εμφυτευμάτων δεν διαφέρει ουσιαστικά από τη φροντίδα των δοντιών. Στοματική υγιεινή που περιλαμβάνει βούρτσισμα με την οδοντόβουρτσα δύο φορές την ημέρα και μία φορά την ημέρα καθαρισμό ανάμεσα στα εμφυτεύματα, είναι αρκετή για να διατηρήσει την υγεία των περιεμφυτευματικών ιστών. Απαραίτητοι θεωρούνται και οι τακτικοί επανάλεγχοι από τον θεράποντα ιατρό, για τον αποτελεσματικότερο καθαρισμό των εμφυτευμάτων από εναποθέσεις πέτρας και μικροβίων στην επιφάνειά τους.